- Home >
- Adult & Kids ENT >
- Sinus Specialist in Singapore
Sinusitis
What is Sinusitis
Sinusitis, also known as rhinosinusitis, is the inflammation or infection of the sinus cavities — air-filled spaces located in your forehead, cheeks, and nose. This condition often leads to symptoms such as nasal congestion, facial pressure, headaches, and breathing difficulties.
In Singapore, sinus problems are particularly common due to the humid climate and high levels of airborne allergens. These environmental factors, along with bacterial or viral infections and allergic reactions, can cause the sinuses to become inflamed or blocked. When this happens, the sinuses may fill with fluid, leading to pain and pressure in the face, a stuffy nose, and other related symptoms.
Types of Sinusitis
Sinusitis can be classified based on how long the condition lasts and how frequently it occurs. The main types include:
Acute Sinusitis
Acute sinusitis is a short-term inflammation of the sinuses, usually caused by a viral infection such as the common cold. Symptoms typically last less than 4 weeks and may include facial pain, nasal congestion, and thick nasal discharge. It often resolves on its own or with minimal treatment.
Subacute Sinusitis
This type lasts between 4 to 12 weeks and may occur when an acute infection does not fully resolve. It can be caused by a bacterial infection or ongoing allergies and may require medical treatment to clear up.
Chronic Sinusitis
Chronic sinusitis is diagnosed when symptoms persist for more than 12 weeks, even with treatment. It is often linked to ongoing inflammation, structural issues in the sinuses (such as nasal polyps or deviated septum), or persistent allergies. Chronic sinusitis may require long-term medical management or even sinus surgery in more severe cases.
Recurrent Sinusitis
Recurrent sinusitis refers to multiple episodes of acute sinusitis—four or more times a year—with symptoms resolving between episodes. It may indicate an underlying issue such as immune dysfunction, nasal abnormalities, or frequent allergen exposure.
What Causes Sinusitis
Sinusitis occurs when the sinus cavities become inflamed or infected, leading to a buildup of mucus and blockage. This inflammation can be triggered by various factors, including:
- Infections: Viral, bacterial, or fungal infections can inflame and block sinuses, needing medical care.
- Allergies: Common in humid places like Singapore, allergens such as dust mites, pollen, and mould cause swelling inside the nose, leading to congestion and sinus blockage.
- Nasal Polyps: Growths that block sinus drainage and increase infection risk, often treated with minimally invasive surgery.
- Deviated Septum: Misalignment that hinders mucus drainage and causes recurring sinus issues, sometimes requiring surgery.
- Environmental Irritants: Pollutants, smoke, and chemicals can irritate sinuses and cause inflammation, especially in urban settings like Singapore.
What are the Common Signs and Symptoms of Sinusitis?
Patients with sinusitis often present with a range of symptoms, including yellowish-green nasal discharge, nasal congestion, fever, headaches, and facial pain, particularly around the eyes, nose, and forehead. It’s crucial to differentiate allergic rhinitis from sinusitis, as their presentations can be quite similar. In Singapore, seeing a qualified sinus specialist is essential for accurate diagnosis and effective management. Sinus surgeons like Dr. Dennis Chua have the expertise to address the underlying causes of sinusitis, whether it’s due to allergies, infections, or structural abnormalities. In severe cases of sinusitis, patients may experience hyposmia (decreased sense of smell) or even anosmia (total loss of smell), highlighting the importance of seeking timely intervention from a sinus specialist in Singapore.
Other common symptoms of a sinus infection include:
Bad breath (halitosis) or a bad taste in the mouth
Cough
Ear pressure or pain
Postnasal drip (mucus dripping down the throat)
Pressure or pain in the teeth
Stuffy nose
Tiredness
Risk Factors of Sinusitis
Knowing the risk factors can help prevent sinusitis. Here are the main ones:
Allergies
Trigger inflammation and swelling in the nasal passages, making individuals prone to infection.
Asthma
Causes airway inflammation and excess mucus, which can lead to sinus blockages.
Nasal Polyps
Noncancerous growths that obstruct airflow and hinder sinus drainage.
Deviated Septum
Misalignment of the nasal passage that can block drainage.
Weakened Immune System
Conditions like HIV/AIDS or certain medications reduce the body’s ability to fight infections.
Pollutants
Exposure to cigarette smoke or environmental irritants inflames nasal passages.
Dental Infections
Upper tooth infections can spread to the sinuses.
Chronic Medical Conditions
Disorders like cystic fibrosis increase sinus infection risk.
Nasal Procedures
Surgery or nasal instrumentation can sometimes lead to sinusitis.
Gastroesophageal Reflux Disease (GERD)
May contribute to chronic sinus inflammation in some individuals.
Schedule Your Consultation With Dr Dennis Chua For a Diagnosis And Personalised Treatment Options.
Diagnosis of Sinusitis
If you are experiencing persistent nasal congestion, facial pressure, or other symptoms of sinusitis, it’s important to consult a sinus specialist for an accurate diagnosis. In Singapore, sinus specialists use a combination of physical examination, patient history, and diagnostic tests to determine the cause and severity of sinusitis.
An ENT specialist may perform:
Clinical evaluation
The diagnosis typically begins with a review of your medical history and symptoms. The sinus specialist will examine your nose, ears, and throat for signs of sinusitis.
Nasal endoscopy
The specialist will insert an endoscope (a thin, flexible tube with a light and camera) into the patient’s nose to get a clear, inside view of their sinuses and nasal passages.
Nasal swabs
The specialist utilises a soft-tipped stick to obtain a fluid sample from the patient’s nose. Subsequently, they will test the sample for viruses or other germs that might cause symptoms of sinusitis.
Allergy testing
If allergies are suspected to be a contributing factor, your doctor may recommend allergy testing to identify specific triggers such as dust mites, pollen, or mold—especially relevant in Singapore’s humid climate.
Biopsy (in Rare Cases)
The specialist may obtain a tissue sample from the patient’s nose for analysis.
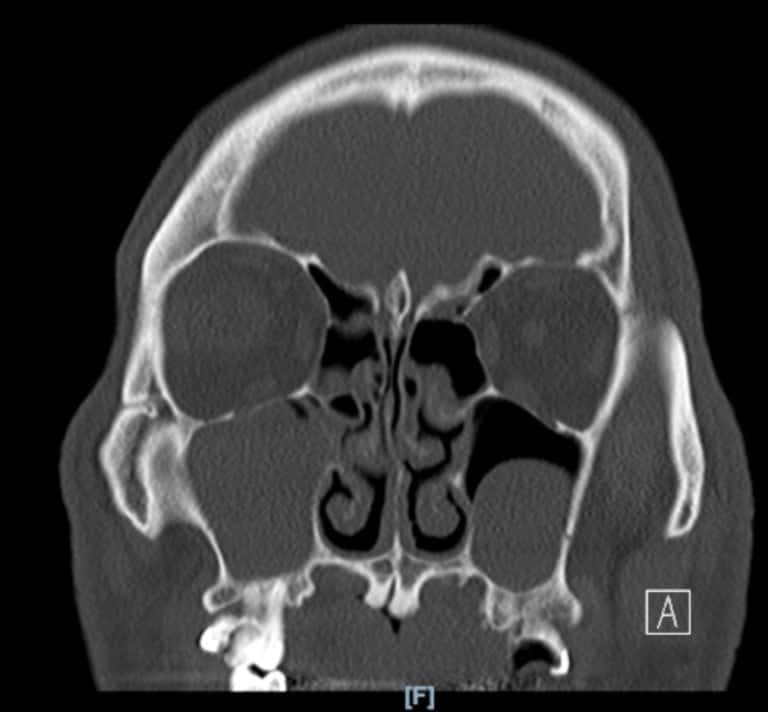
Imaging
A computed tomography (CT) scan to better understand what happens inside their sinuses.
Treatment of Sinusitis
Sinusitis treatment typically depends on the underlying cause, whether it’s triggered by allergies, infections, or structural issues. Treatments can range from medications to surgical intervention, depending on the severity and duration of symptoms.
Medications for Sinusitis Relief
Most mild or acute sinusitis cases can be managed with medications. Common options include:
- Antihistamines
If the sinusitis is triggered by allergic reactions, antihistamines may help alleviate symptoms like sneezing.
- Decongestants
Decongestants help shrink swollen nasal tissues and promote sinus drainage, offering quick relief from nasal blockage. Available in oral tablets or nasal sprays (short-term use only to avoid rebound congestion).
- Antibiotics
When sinusitis is caused by a bacterial infection, antibiotics may be prescribed to clear the infection.
- Over-the-Counter (OTC) Pain Relief
Medications such as ibuprofen or paracetamol may be used to reduce facial pressure, headaches, and general sinus discomfort.
When is Sinus Surgery Needed?
While medications are effective for many sinusitis cases, sinus surgery may be necessary when symptoms become chronic, recurrent, or resistant to medical treatment. If you’re dealing with long-term discomfort, it may be time to consult a sinus specialist in Singapore to explore surgical options.
Dr Dennis Chua
Consultant ENT Specialist in Singapore
MRCS (Edinburgh), MMed (ENT), FAMS (ENT)
Dr Dennis Chua is a USA Fellowship-trained ENT specialist and Facial Plastic Surgeon with over 20 years of experience. He treats adults and children for a wide range of ENT conditions, including sinus and nasal disorders, allergies, snoring, ear infections, hearing loss, and thyroid or voice-related issues. A former Chief of Facial Plastic Surgery at Tan Tock Seng Hospital, Dr Dennis Chua is highly experienced in complex nose and sinus cases and serves as a Visiting Consultant at KK Women’s & Children’s Hospital.
Frequently Asked Questions
What is the cost for sinus surgery in Singapore?
The surgeon’s fees for sinus surgery can range from approximately SGD 2,200 to SGD 9,500 with GST, depending on the complexity of the case. This figure typically does not include anaesthetist fees, hospital fees, or other related costs.
What factors can influence the cost of sinus surgery?
The total cost of sinus surgery can vary due to factors such as surgery complexity, the specific procedure type, choice of hospital and ward, surgeon’s experience, anaesthetist fees, pre-operative tests, post-operative care, the need for implants, and inpatient doctor’s attendance fees.
Can sinus issues heal on their own?
Yes, many sinus infections can resolve on their own within a week or two. However, if symptoms persist or worsen, it’s advisable to consult a sinus specialist for further evaluation.
Is sinus a serious problem?
While sinus issues are often not serious, they can lead to complications if left untreated. It’s important to see a sinus specialist if you experience persistent symptoms or severe pain.
How can I treat my sinus infection without surgery?
Most sinus infections can be managed with medications such as decongestants, antihistamines, and nasal sprays. If symptoms do not improve, consulting with a sinus specialist can help determine if further treatment is necessary.
Will insurance cover the cost of surgery for my condition?
Insurance coverage for sinus surgery costs in Singapore varies depending on the policy. It’s best to check with your insurance provider to understand your benefits.
How do you know if a sinus infection is serious?
If you experience symptoms such as high fever, severe headache, swelling around the eyes, or symptoms lasting longer than ten days, it’s essential to consult a sinus specialist, as these may indicate a more serious condition.
How can I permanently cure sinusitis?
While there may not be a one-size-fits-all permanent cure, a sinus specialist can recommend treatment options, such as medication or surgery, to manage chronic sinusitis effectively.
How long does it take for a complete recovery from a sinus procedure?
Recovery time after sinus surgery can vary based on the procedure performed. Generally, patients can expect a few weeks of recovery, but it’s important to follow your sinus surgeon’s specific post-operative care instructions.
Contact Form
Feel free to contact, We are more than happy to assist you! We will get back to you as soon as possible.