- Home >
- Adult & Kids ENT >
- Deviated Nasal Septum
Deviated Nasal Septum
What is a Deviated Nasal Septum?
The nasal septum is a wall of bone and cartilage that separates the two nostrils in the nasal cavity. A deviated nasal septum arises when this wall is significantly off-centred or crooked, making one nasal passage smaller than the other.
While a slight deviation is common and often harmless, a severely deviated septum can block airflow, cause breathing difficulties, and contribute to other nasal and sinus problems.
Many Singaporeans may possess a deviated septum without their knowledge. Symptoms often develop over time or people mistake them for allergies or sinusitis.
Causes of a Deviated Nasal Septum
A deviated septum can be congenital (present at birth) or acquired during life as a result of:
- Congenital factors: The septum is misaligned during fetal development.
- Injury or trauma: Injury to the nose from sports, falls, and accidents.
- Age-related changes: Cartilage can shift over time, making deviations more pronounced.
Common Symptoms of a Deviated Nasal Septum
If the septum is slightly deviated it’s typically not too much of an issue. If the septum is significantly deviated, creating a situation causing blockage, it can result in:
Persistent nasal congestion, often worse on one side
Difficulty breathing through one or both nostrils
Frequent nosebleeds due to drying of nasal tissue
Recurrent sinus infections
Loud breathing, including snoring during sleep
Facial pain or headaches (in some cases)
Risk Factors
You may be more likely to have a deviated septum if:
- You have a family history of nasal structure variations
- You engage in contact sports without protective gear
- You have experienced facial trauma or nasal injury
Book an appointment with Dr Dennis Chua for evaluation and treatment of a deviated nasal septum.
Diagnosis
An ENT specialist can evaluate a deviated septum using:
- Physical examination: Using a nasal speculum to visually assess the septum’s alignment.
- Nasal endoscopy: A thin, flexible camera provides a clear view of the septum and nasal passages.
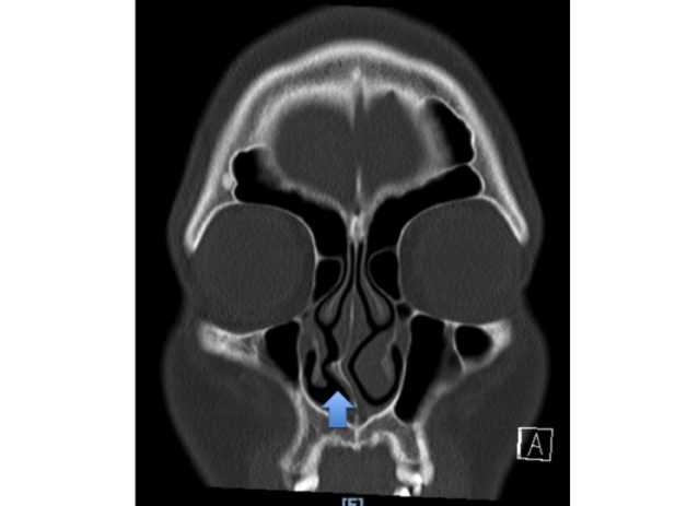
- Imaging tests: CT scans may be used if more detailed anatomical information is required, especially before surgery.
Treatment Options
Treatment is determined by severity of symptoms.
Medications (Symptom Management)
These do not correct the deviation but can help relieve associated issues:
- Nasal steroid sprays to reduce inflammation
- Antihistamines or decongestants for allergy-related symptoms
- Saline nasal rinses to keep nasal passages clear and moist
Surgical Treatment – Septoplasty
If your septal deviation causes persistence symptoms, septoplasty is an option and can offer the most definitive treatment. Septoplasty does not correct all deviations but straightens and repositions the septum along your nasal airway is improved.
- Benefits: Better breathing, reduced sinus infections, and possibly an improved quality of life.
- Approach: Usually carried out under general anaesthesia as a day surgery.
- Recovery: Recovery time to return to work, sport, and other activities is usually in the range of 1-2 weeks, with little or no scarring visible on the nose as the incisions are made inside of the nose.
Dr Dennis Chua
Consultant ENT Specialist in Singapore
MRCS (Edinburgh), MMed (ENT), FAMS (ENT)
Dr Dennis Chua is a USA Fellowship-trained ENT specialist and Facial Plastic Surgeon with over 20 years of experience. He treats adults and children for a wide range of ENT conditions, including sinus and nasal disorders, allergies, snoring, ear infections, hearing loss, and thyroid or voice-related issues. A former Chief of Facial Plastic Surgery at Tan Tock Seng Hospital, Dr Dennis Chua is highly experienced in complex nose and sinus cases and serves as a Visiting Consultant at KK Women’s & Children’s Hospital.
Frequently Asked Questions
Is a deviated septum common?
Yes. Many people have some degree of septal deviation, but only severe cases cause symptoms that require treatment.
Can a deviated septum heal on its own?
No. Once the septum is deviated, it will not straighten naturally. Symptoms can be managed with medications, but surgery (septoplasty) is the only way to correct the deviation.
How do I know if I need surgery for a deviated septum?
If you have persistent nasal blockage, frequent sinus infections, difficulty breathing through one side of the nose, or sleep disruption despite medical treatment, your ENT specialist may recommend septoplasty.
Is septoplasty a painful procedure?
Septoplasty is generally well-tolerated. Discomfort is usually mild and managed with prescribed pain relief. There are no visible external scars since the surgery is performed inside the nose.
How long is the recovery after septoplasty?
Most patients resume normal activities within 1–2 weeks, although complete healing may take several weeks. Your ENT will provide guidance for post-surgery care.
Will septoplasty change the shape of my nose?
Septoplasty focuses on correcting the internal nasal structure and typically does not change the external appearance of the nose. If cosmetic changes are desired, rhinoplasty can be performed together with septoplasty.
Can a deviated septum come back after surgery?
Recurrence is rare, but it can happen if there is significant trauma to the nose after surgery. Following your ENT’s aftercare instructions helps ensure long-term results.
Contact Form
Feel free to contact, We are more than happy to assist you! We will get back to you as soon as possible.